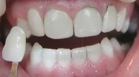
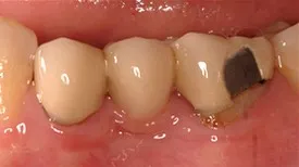
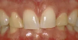
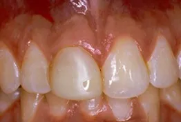
Before: Front (left) Central tooth has a poor restoration. Does not look natural and is not contoured properly to match the gumline of the rest of the teeth.
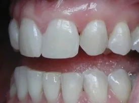
After: Replaced with an All Porcelain Crown (no metal). Tooth is now contoured to match the rest of the gumline. Restored tooth looks very natural and matches the shape and color of the patient's teeth.
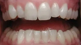
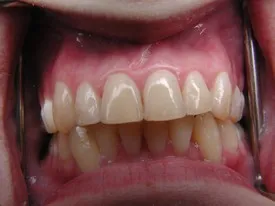
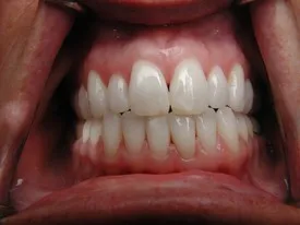
Before: Patient needs Upper Arch Rehabilitation. Presents with Upper Anterior teeth that are stained, incisal edges (tooth edge) are worn down and chipped, and gumline recession is present.
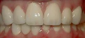
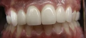
After: Smile restored with placement of 8 Upper All Porcelain Crowns (Caps). Gumline and incisal edges are now uniform. Patient now has longer, better shaped teeth to enhance the smile line and aid in chewing/biting function.
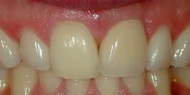
Before: Patient needs a Single Tooth Replacement of one Upper Central Incisor.
After: Smile and function restored with a Single Implant and an All Porcelain Crown (Cap) that fits securely over the implant.
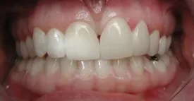
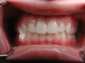
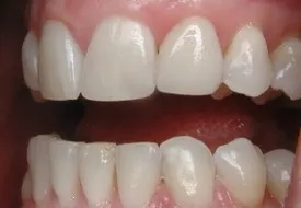
Before: Patient unhappy with six Upper Anterior teeth. The edges are uneven, the gumline is uneven on the two central incisors, and the color/shade is not uniform. The two lateral incisor teeth have been previously restored and are poorly shaped.
After: Smile restored with 6 Upper Anterior Crowns that are properly shaped, gumline is uniform, and color/shade is the same for all 6 incisor teeth.
Before: Patient needs Upper and Lower Arch Rehabilitation.
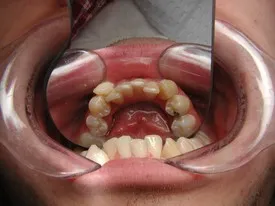
After: Great smile, chewing function, and facial tissue support possible with an Upper Denture that is supported with Implants and Lower Implants and Crowns.
Before: Patient needs Upper and Lower Arch Rehabilitation.
After: Great smile, chewing function, and facial tissue support possible with an Upper Denture that is supported with Implants and Lower Implants and Crowns.